tudo sobre: Pênis
Médico é preso em flagrante após esfregar órgão genital em técnica de enfermagem
O homem também puxou os cabelos da mulher para tentar beijá-la à força
Padeiro que teve pênis arrancado foi obrigado a comer parte do órgão
Membro do homem foi cortado com uma faca pela esposa em Feira de Santana
Qual parte do corpo indica o tamanho do pênis? Saiba agora
Suposta ligação entre partes do corpo e o tamanho do órgão genital masculino gera debate na web
Idoso tem pênis decepado em Feira de Santana; companheira é principal suspeita
Vizinhos afirmam que a vítima é constantemente agredida pela mulher.
A cada semana 9 homens têm o pênis amputado no Brasil
A falta de higiene é o principal motivo dos casos
Amputação de pênis no Brasil cresce 1.604% em 14 anos; câncer é maior causa
Ao menos 7.213 procedimentos do tipo foram registrados no mesmo período
Novo Pênis! Técnica recria membro para amputados
Cirurgia realizada pelo SUS promete devolver vida sexual ativa
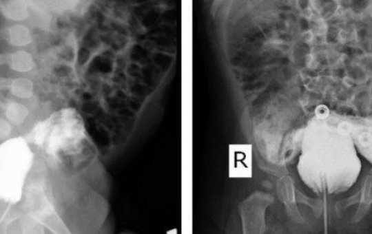
Bebê no Irã surpreende ao nascer sem pênis e urinar pelo ânus
Caso ganhou um relato científico na revista médica Radiology Case Reports
Varíola dos macacos pode causar inchaço nos órgãos genitais, diz estudo
Também foi descoberto no trabalho científico que apenas 25% dos infectados relataram ter tido contato com uma pessoa infectada com o vírus
Mulher corta pênis de homem durante relação sexual em Manaus
Caso aconteceu na noite da última quarta-feira (11)









