Bebê no Irã surpreende ao nascer sem pênis e urinar pelo ânus
Caso ganhou um relato científico na revista médica Radiology Case Reports

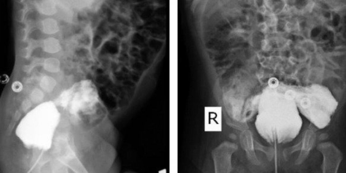
Foto: Reprodução/Radiology Case Reports
Um caso raro de um bebê que nasceu sem pênis aconteceu no Irã. A condição chocou os médicos e a mãe da criança, que relatou que teve um processo gravidez integralmente saudável e sem complicações.
O recém-nascido veio ao mundo com afalia, uma má formação que impede o desenvolvimento do falo (pênis ou clitóris). Apesar da ausência do órgão reprodutor e excretor masculino, a criança possui testículos e escroto, logo, é classificada como do sexo masculino.
Por conta da má-formação, o sistema urinário do bebê está conectado ao reto. Como consequência, a criança urina pelo ânus. Devido a raridade, o caso ganhou um relato científico na revista médica Radiology Case Reports. Segundo os médicos que o atenderam, o recém-nascido nasceu em ótimo estado de saúde.
A equipe realizou exames por mais de um ano após o nascimento da criança para entender como funciona o sistema urinário único do paciente. Em exames de imagem com um corante específico, foi identificado que o bebê tem uma fístula, ou seja, uma ligação anormal entre a bexiga e o reto – que fica no final do intestino.
Apesar de ser possível realizar cirurgias para construção de um pênis e uma uretra, os médicos que atenderam o recém-nascido sugeriram que ele passe por um tratamento de mudança de sexo e uma cirurgia de feminização, quando se cria uma vagina.
A equipe ainda recomendou que a criança receba o hormônio estrogênio durante a puberdade para inibir mudanças no corpo como a presença de pelos faciais e o engrossamento da voz, a fim de estar de acordo com o gênero feminino. O relato de caso não traz informações sobre a decisão da família.
Conforme estimativas, a afalia afeta uma criança a cada 30 milhões e existem menos de 100 casos relatados na literatura médica. Pessoas com a condição são conhecidas biologicamente como intersexuais – no passado, era usado o termo hermafrodita.
Varela Net agora mais perto de você: receba as notícias em tempo real no seu WhatsApp clicando aqui.


