tudo sobre: Contaminação
Vírus Nipah: doença rara e altamente letal volta a preocupar autoridades de saúde
Sem vacina ou tratamento específico, vírus reaparece na Índia e reforça alerta sanitário internacional
Do ouro ao veneno: o destino perigoso do lixo eletrônico no Brasil
País recicla apenas 3% dos resíduos eletrônicos gerados, apesar de legislação que prevê logística reversa
Vigilância Sanitária de Natal alerta população para possível contaminação nos peixes
Até o momento, treze pessoas apresentaram sintomas e duas foram internadas em estado grave
UFBA admite contaminação de bebedouros na Escola Politécnica
Universidade, por meio de um comunicado, se disse ciente do caso e afirmou que oito dos nove equipamentos estão seguros
Bebedouros de faculdade da UFBA são interditados após indícios de contaminação
Universidade tomou a decisão após testes na Escola Politécnica
Contaminação no Rio São Francisco mata mais de mil peixes, causa é investigada
Juazeiro e cidades abastecidas pelo Rio estão sendo abastecidas por caminhões Pipa
Salvador tem mais de 20 praias impróprias para banho durante fim de semana
Lista foi divulgada nesta sexta-feira (26), pelo Inema
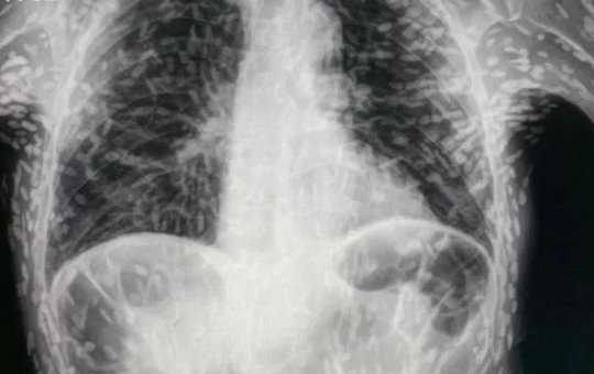
Raio-x chocante mostra tórax de paciente repleto de ovos de tênia
Caso foi revelado através de uma conta no twitter
Anvisa revoga resolução e autoriza fabricação da marca Fugini
Inspeção ocorreu entre os dias 3 e 5 de Abril
Mulher morre após comer refeição contaminada com salmonella em Jacobina
Neuraci de Jesus dos Santos, de 49 anos, teve uma das pernas amputada antes de morrer









